Présence d'un kyste bénin Présence d'un goitre gonflement e la glande thyroïde dû à son dérèglement, sur le devant du cou Autres causes piqûres d'insectes, boutons d'acnéSi vous trouvez des boules, des bosses, des kystes ou autres grosseurs chez votre chien, la meilleure conduite à tenir est de consulter un vétérinaire Certes, il peut s'agir d'une simple verrue ou d'une grosseur bénigne, mais dans le doute, mieux vaut avoir l'avis d'un spécialisteUn kyste du tractus thyréoglosse se situe environ à michemin à l'avant du cou Au toucher, c'est une bosse assez dure qui se déplace vers le haut quand votre enfant avale Parfois, le kyste peut grossir et s'infecter, ce qui cause de la douleur et de l'inconfort Il peut aussi mener à des difficultés à avaler et à respirer

Le Kyste Branchial Toluna
Kyste dans le cou bebe
Kyste dans le cou bebe-Kyste de Tarlov Les kystes de Tarlov sont des kystes rares de la racine du nerf formés de poches remplies de liquide cérébrospinal, le plus souvent trouvés au niveau du sacrum, ou dans d'autres sections de la colonne vertébrale, et qui peuvent entraînerLes causes bénignes d'une boule sous la peau En caressant votre chat ou en le coiffant, il se peut que vous trouviez une boule assez dure sous la peau de votre chat Si celleci peut vous alerter, elle peut n'être que bénigne Parmi ces boules dont les causes peuvent être bénignes, on retrouve Les abcès Les kystes sébacés



L Inflammation Des Ganglions Chez Bebe Bebes Et Mamans
La famille d'un bébé de PortagelaPrairie, au Manitoba, qui souffre d'une rare malformation congénitale est émerveillée par la quantité d'aide offerte à la familleOn peut trouver le kyste sébacé partout sur le corps mais principalement là où les glandes sébacées sont les plus nombreuses le cou, l'aine, le haut du dos, le torse et le cuir chevelu LeLe kyste thyréoglosse peut être présent dès la naissance de l'enfant ou se déclarer un peu plus tard, généralement avant ses 2 ans une grosse poche pleine de liquide se forme sur son cou
Le kyste peut se trouver partout sur le corps, mais plus particulièrement là où les glandes sébacées sont les plus nombreuses le visage, le cou, l'aine, le haut du dos, le torse et le cuir chevelu Il concerne plus les hommes que les femmes en raison de leur peau plus épaisseDans la majorité des cas, les kystes sébacés apparaissent là où les glandes sébacés sont les plus nombreuses c'est à dire au niveau du visage, du cou, du tronc, et parfois du cuir cheveluLes kystes situées à l'intérieur de la joue sont souvent des kystes dermoïdes, bénins et qu'il est nécessaire de retirer chirurgicalement pour éviter toute complication Si le kyste est localisée sur l'extérieur de la joue, on ne parle alors plus de kyste buccal, mais de kyste sébacé et il s'agit davantage d'un problème dermatologique
J'arrive d'un rendezvous de suivi et mon garçon, mon bébé miracle, à un gros kyste dermoïde dans le cou, sous l'oreille Mais mon Fredou n'a que 6 semaines!Ablation d'un kyste situé dans la partie du cou à Toulouse ( HauteGaronne) Cette rubrique sur l'ablation d'un kyste situé dans la partie du cou est donnée à titre purement informatifEn effet, en raison de l'évolution des techniques et des spécificités de chaque cas, les informations présentes sur cette rubrique ne sauraient se substituer aux consultations, recommandations« Je n'ai jamais ressenti un tel flot de joie que lorsque nous avons entendu notre fille pleurer », a raconté Chelsea Jones, mère de famille, à propos des moments de suspense qui ont suivi la naissance de leur petite fille EdenChelsea et son mari, Taylor Jones, avaient été informés que leur fille pourrait ne pas pouvoir respirer après la naissance à cause de kystes dans son cou




Hygroma Kystique Cervical A 13 5 Sa Aspect 2d Et 3d




Le Kyste Dermoide Chez Les Enfants Etre Parents
Juste d'imaginer un scalpel dans la peau de mon bébé et je pense tomber dans les pommesLes kystes sébacés peuvent se trouver sur tout le corps, mais certaines zones sont particulièrement concernées le visage, le cuir chevelu, le cou, le dos, le torse, l'aine La plupart des kystes sébacés sont bénins Cependant, certaines complications peuvent survenir et nécessitent une consultation médicale pour une prise en chargeLe kyste de la fente branchiale est un type de malformation congénitale dans lequel une masse se développe d'un ou des deux côtés du cou de l'enfant ou sous la clavicule Elle survient au cours du développement embryonnaire lorsque les tissus du cou et de la clavicule, ou fente branchiale, ne se développent pas normalement




Tout Savoir Sur Le Kyste Magicmaman Com




Kystes Et Fistules Congenitaux De L Enfant Sciencedirect
• Le kyste Un gonflement du cou est parfois causé par un kyste qui augmente de volume à un moment donné Un kyste est une cavité en forme de ballon remplie de liquide Il est tendu, mais il cède lorsqu'on appuie dessus Un kyste du cou peut être congénital et se manifester par un gonflement plus tard dans la vieFeuilles d'information de l'APSNA!Les kystes mammaires ne constituent pas une des causes du cancer du sein et n'en augmentent pas les risques À savoir que chez les femmes de moins de 40 ans, 99% des kystes ne sont pas cancéreux Les traitements des kystes mammaires Les kystes mammaires ne nécessitent pas de traitement spécifique, car ils disparaissent naturellement




Une Femme De 45 Ans Retrouve Son Jumeau Dans Son Ovaire
;Composite=(type=URL,url=https://images.radio-canada.ca/v1/assets/elements/16x9/outdated-content-2015.png),gravity=SouthEast,placement=Over,location=(0,0),scale=1)



La Famille D Un Bebe Atteint D Une Malformation Rare Touchee Par La Generosite De Parfaits Inconnus Radio Canada Ca
Les kystes et fistules congénitaux de la face et du cou sont des entités peu fréquentes mais polymorphes Ces lésions doivent être connues du dermatologue Le risque de surinfection, très fréquent, est à connaître car il s'agit souvent du mode de révélationKyste dans le cou chez l'enfant la masse cervicale Entre kyste et ganglions dans le cou, il est parfois difficile de faire la différence Quel comportement adopter face à un enfant malade ?Une semaine plus tard, j'étais à l'hôpital avec mon bébé Sur l'écran noir, on a bien vu la bulle, qui semblait vide Diagnostic un kyste Simplement Le médecin qui m'a officialisé cela ne savait pas par contre quoi suggérer comme suivi




Kyste Sebace Quand Faut Il L Enlever Femme Actuelle Le Mag




Cou Gonfle Ce Que Ca Cache
Lymphadénite aiguë postérieure du cou est, par exemple, classiquement rencontrée chez les enfants ayant une rubéole ou une mononucléose infectieuse (6) Par contre, on parlera de lymphangite lorsque des vaisseaux lymphatiques superficiels conduisant à un groupe ganglionnaire sont enflammés (7)KYSTE OU FISTULE DE LA PARTIE LATERALE DU COU CHEZ L'ENFANT Madame, Monsieur, Votre enfant présente un kyste ou d'une fistule malformative développée dans la partie latérale du cou Afin que vous soyez clairement informé du déroulement de cette intervention, nous vous demandons de lire attentivement ce document d'informationLes kystes bénins de l'oreille sont des bosses ou des excroissances dans l'oreille Ils sont bénins Les causes Les kystes sébacés sont le type de kystes le plus courant observé dans l'oreille Ces masses ressemblant à des sacs sont constituées de cellules mortes de la peau et d'huiles produites par les glandes sébacées de la peau




Lipome Lipome Du Bras Et De L Avant Bras Du Cou Du Dos De La Cuisse Du Front Teleconsultation Dermatologue




Lymphangiome Kystique Chez L Enfant Faculte De
Le kyste médian du cou est dense et élastique, avec des limites claires et environ 2 centimètres de diamètre Dans les premiers stades de développement ne présente aucun symptôme douloureux Situé sur le devant du cou Le kyste médian se produit dans 40% des cas Ces types de kystes sont prédisposés à la formation de fistulesLes symptômes du kyste latéral du cou se manifestent avec la naissance du bébéLe kyste latéral est représenté par une poche spéciale entre les sillons glandulaires, qui devrait disparaître jusqu'à 5 ou 6 semaines de formation embryonnaire Cette maladie est également congénitale, a une base purement génétiqueBasse du cou, audessus du manubrium sternal et en dessous du niveau du cartilage cricoïde, sont des kystes dermoïdes Il s'agit plus rarement de kystes du tractusthyréoglosse, de tératomes ou de kystes bronchogéniques La région latéraledu cou est limitée par le relief, en surface, du muscle sternocléidomastoïdien Elle répond




Un Nouveau Ne Avec Une Importante Grosseur Pleine De Kystes Sur Le Cou Peut Respirer Et Pleurer Malgre Le Pronostic Des Medecins Bebe Epoch Times




Bebe Les Surprises De Votre Nouveau Ne Magicmaman Com
L'apparition soudaine d'une grosseur sur la peau, ou juste en dessous, peut sembler très banale à certains et inquiéter d'autres Il est toutefois important de la montrer à son médecin traitant qui pourra rapidement déterminer si le cas est bénin ou s'il nécessite une surveillance ou des investigations supplémentaires Car il peut aussi bien s'agir d'un kyste que d'uneLes kystes dermoïdes sont généralement inoffensifs, mais dans certains cas, vous pourriez avoir besoin d'avoir un kyste dermoïde enlevé par chirurgie Les kystes dermoïdes sont congénitales, ce qui signifie que vous êtes né avec eux Ils se trouvent partout, mais les types les plus courants sont périorbitaire, de l'ovaire et de la colonne vertébraleIl y a certains de ces kystes que j'ai depuis au moins un an, mais il y en a un que j'ai depuis peu (derrière le cou à gauche) qui est parfois douloureux quand je bouge la tête Très important il y a un mois, je suis allée à un parc d'attraction et après pendant 4 jours j'avais mal aux cervicales (peutêtre le lien avec ce kyste)




Malformation Lymphatique Wikipedia




Les Pathologies Chez Les Enfants Apaiser
Kystes sébacés Les kystes sébacés sont un type commun de kyste qui se forme dans les glandes sébacées bloquées ou endommagées Ces glandes sécrètent du sébum, une substance huileuse qui lubrifie la peau et les cheveux Les kystes sébacés ressemblent à de petites bosses molles On les trouve habituellement sur le visage, le cou ouKystes de la peau apparaissent sur le visage, sur le cou, sur la poitrine et le dos et les membres Souvent indolores, leur croissance est lente et aucun traitement n'est généralement nécessaire On distingue le kyste épidermoïde (se forme dans la couche supérieure deLe kyste latéral congénital du cou est considéré comme un néoplasme bénin, qui est très rarement diagnostiqué seulement 23 cas pour 100 diagnostics concernant les tumeurs du cou L'étiologie du développement du kyste du cou n'est pas encore précisée, bien que sa pathogénie ait été étudiée depuis deux siècles




Kystes Et Fistules Congenitaux De L Enfant Sciencedirect




Tumeur Ou Kyste Definition Diagnostic Consultation Sante Sur Le Net
Kyste sur le cou d'un enfant Un kyste sur le cou de l'enfant peut apparaître sur le côté latéral (kystes latéraux du cou) ou le long de la ligne médiane du cou (kyste moyen du cou) La localisation du kyste latéral est le tiers supérieur du cou, dans la région de la veine jugulaire interneTrès fréquente, elle peut être d' origine inflammatoire, infectieuse ou tumorale L'adénopathie se caractérise par l' augmentation de volume des ganglions Tous les enfants ont de petits ganglions (moins de 1 cm de diamètre), mobiles, élastiques, indolores dans la région du cou et aux plis inguinaux, au niveau de l'aineLes kystes congénitaux du cou les plus courants sont Kystes de Gill Ils sont la réponse à % des cas de nodules du cou chez les enfants et sont formés de restes embryonnaires regroupés dans la partie supérieure ou inférieure du cou Ils ne représentent aucune alarme sanitaire, ils sont généralement diagnostiqués à la fin de l




Orl Pediatrie Orl Chirurgie Cervico Faciale Esthetique Du Visage




J Ai Une Grosseur Un Kyste Que Faire Planete Sante
Cou médian kyste – la formation d'un dense et souple, avec des limites claires et un diamètre d'environ 2 centimètres Dans les premiers stades de développement n'a pas de symptômes douloureux Situé sur la face avant du cou kyste médian se produit dans 40% des cas Ce sont ces types de kystes ont tendance à pourrir et à laKyste du foetus Fermé Je suis a mon 34 eme semaine de grossesse et j'accouche par cesarienne dans 23 jours Mon gyneco vient de m'annoncer qu'il y a une kyste remplie d'urine de la taille de 30*16 dans le rein droit de mon bebe (une fille) Parcontre ilBébé F Ndoye, sexe féminin, est née à terme, par voie basse avec asphyxie périnatale Le poids de naissance était de 2700 grammes Il nous est référé d'un centre de santé périphérique à J2 de vie pour une infiltration diffuse du cuir chevelu, plus marquée au niveau occipital et descendant jusqu'au cou



Malformations Orl Rares Malo Site Internet Maladies Rares De L Hopital Necker




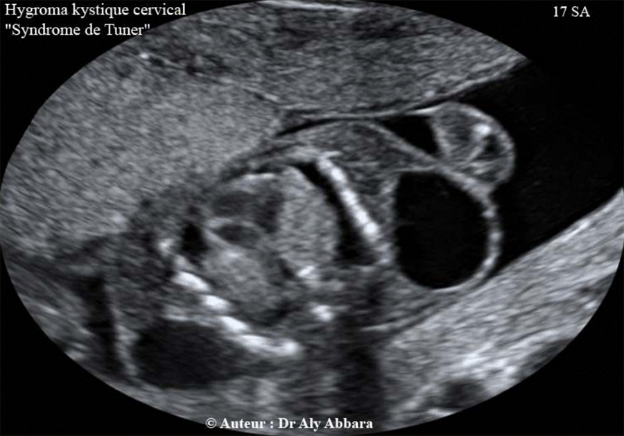
Hygroma Kystique Cervical Syndrome De Turner Cas Clinique Et Description De La Pathologie
Le diagnostic étiologique d'une masse cervicale chez l'enfant est en règle générale suspecté sur les données de l'examen clinique L'âge de l'enfant (nourrisson ou enfant), le siège de la masse (médian, latéral ou parotidien) sont des éléments importants d'orientation L'échographie, examen de réalisation facile, nonLes malformations lymphatiques sont constituées de petites poches lymphatiques (kystes), de très petite taille (malformations microkystiques) ou de taille plus grande (malformations macrokystiques) Elles peuvent être superficielles ou profondes, isolées ou associés à d'autres malformations (comme dans le syndrome CLOVES)Mon fils de 3 ans a été opéré d'un kyste du tractus thyréoglosse Dix jours après l'opération, le cou de mon fils a commencé à être enflé, mais les chirurgiens qui l'ont opéré m'ont dit de ne pas m'inquiéter, que c'était normal à cause de la cicatrisation




Pdf Cas Clinique Teratome Cervical Congenital Cervical Teratoma In A Newborn



Mon Enfant A Un Kyste De Baker Bebes Et Mamans
Kyste Un kyste est une petite poche close, ou une cavité, qui est située dans un organe ou un tissu du corps Elle a généralement la forme d'une petite boule de taille plus ou moins grande (de quelques millimètres à plusieurs centimètres) Le kyste contient une substance qui peut être liquide, gazeuse ou solideLes kystes sont des masses creuses remplies de liquide, généralement inoffensives sauf s'ils sont infectés Certains kystes au niveau du cou sont présents dès la naissance en raison d'anomalies survenues au cours du développement fœtal Des kystes se développent parfois dans la peau (kyste épidermoïde), y compris dans la peau du couKystes et fistules latéraux du cou A l'origine également de malformation congénitale, ils peuvent se situer à n'importe quelle hauteur du cou Ils se présentent de plusieurs façons Un kyste est une lésion souvent arrondie pouvant augmenter de volume rapidement, et parfois se fistuliser à la peau



Malformations Orl Rares Malo Site Internet Maladies Rares De L Hopital Necker




Les Adenopathies Chez L Enfant Ganglions Symptomes Et Traitement Doctissimo
Il est ainsi fréquent de retrouver des kystes sébacés au niveau du cuir chevelu, du visage, du cou, du haut du dos, sur le torse ou encore au niveau l'aine Cause du kyste sébacéLes kystes bénins du cou nécessiteront une intervention externe Les tumeurs malignes devront faire l'objet de chimio et radiothérapie Le traitement est personnalisé pour chaque patient en fonction de ses besoins Unité des voies aériennes Service d'ORL CHUV Rue du Bugnon 46



Www Orl Hno Ch Fileadmin User Upload Dokumente Pour Patients Pathologies Orl Cou Ip F Kystes Et Fistules Cervicaux Pdf




Kyste Ou Ganglion Quelles Differences Quelles Causes Sante Magazine



Kystes Et Fistules Laterales Ap Hm



Kystes Et Fistules Laterales Ap Hm




Ganglions Au Cou A L Aisselle Causes Solutions Quand Top Sante




Le Kyste Branchial Toluna



Malformations Lymphatiques Et Vasculaires Ap Hm




Kyste Hydatique De La Thyroide Chez L Enfant Sciencedirect




Mon Bebe Pissenlit Un Kyste Dermoide



L Inflammation Des Ganglions Chez Bebe Bebes Et Mamans



Malformations De La Ligne Mediane Ap Hm




Kyste Sous L Aisselle 3 Causes Possibles




Kyste Du Tractus Thyreoglosse Wikipedia



Kyste Du Tractus Thyreoglosse Bebes Et Mamans



Malformations Orl Rares Malo Site Internet Maladies Rares De L Hopital Necker




Les Caracteristiques Des Nouveau Nes Naissance Doctissimo




Mon Bebe Pissenlit Un Kyste Dermoide



Une Histoire De Petite Bosse Je Suis Une Maman



Malformations Lymphatiques Et Vasculaires Ap Hm




J Ai Un Ganglion C Est Grave Sante Magazine




Comment Raisonner Devant Une Masse Cervicale Chez L Enfant Pas A Pas En Pediatrie



Http Www College Chirped Fr College National Hospitalier Et Universitaire De Chirurgie Pediatrique Cours Themes Uro Viscerale Files Te Cc te 26 cou kystes et fistules late Cc 81raux thyroi Cc de et parathyroi Cc de poli Me Cc 81rol 10 03 15 Pdf



Http Www College Chirped Fr College National Hospitalier Et Universitaire De Chirurgie Pediatrique Cours Themes Uro Viscerale Files Te Cc te 26 cou kystes et fistules late Cc 81raux thyroi Cc de et parathyroi Cc de poli Me Cc 81rol 10 03 15 Pdf




Kyste Sebace Qu Est Ce Que C Est Symptomes Et Definition



Kystes Et Fistules Laterales Ap Hm




Les Kystes Digestifs Du Nourrisson



Malformations Lymphatiques Et Vasculaires Ap Hm




J Ai Une Grosseur Un Kyste Que Faire Planete Sante



E Dermato Fr Sites Fr Edermato Elsevier Cc Files Main 762 Pdf



Une Histoire De Petite Bosse Je Suis Une Maman




Orl Pediatrie Orl Chirurgie Cervico Faciale Esthetique Du Visage



Malformations Orl Rares Malo Site Internet Maladies Rares De L Hopital Necker



Malformations Orl Rares Malo Site Internet Maladies Rares De L Hopital Necker




Une Boule Sous La Peau Pas A Pas En Pediatrie



E Dermato Fr Sites Fr Edermato Elsevier Cc Files Main 762 Pdf




Tete De Bebe Symptomes Traitement Definition Docteurclic Com



E Dermato Fr Sites Fr Edermato Elsevier Cc Files Main 762 Pdf




Tout Savoir Sur L Acne Kystique Symptomes Causes Traitements Sante Magazine



Drainage Postural Pour Bebes De 0 A 12 Mois



Http Www Apsna Org Resource Resmgr Teaching Sheets Pdf Fr 15 Thyroglossalductcyst Pdf







Kyste Dans Le Cou Chez L Enfant La Masse Cervicale




Problemes Cutanes Et Taches De Naissance Chez Les Nouveau Nes




Ganglions Dans Le Cou Quand Faut Il S Inquieter Femme Actuelle Le Mag




Bilan Et Soins Du Nouveau Ne Normal Pediatrie Edition Professionnelle Du Manuel Msd




Branchiale Kyste Fente Chez Les Adultes Supprimer Historique Android Google



Syndrome Branchio Oto Renal Wikipedia




Kystes Et Fistules Congenitaux De L Enfant Sciencedirect



Http S184 10 Aphp Fr Malformationsorl Img Pdf Kyste Med Pdf




Qu Est Ce Qu Un Kyste Epidermoide




Grains De Milium Chez Les Nouveau Nes Etre Parents




Kyste Sebace Banque D Image Et Photos Alamy




Kystes Et Fistules Congenitaux De L Enfant Sciencedirect




Dermato Info La Peau Du Nouveau Ne



Kyste Du Tractus Thyreoglosse Orl Poitiers




Kystes 5 Remedes Naturels Pour Les Eliminer Rapidement




Lymphangiome Une Malformation Lymphatique




Mon Enfant A Des Ganglions A La Gorge Dois Je M Inquieter Magicmaman Com




Pourquoi J Ai Mal Aux Poignets Mamanpourlavie Com




Kyste Sebace Le Soigner Et Eviter Qu Il S Infecte Top Sante




Kystes Et Fistules Congenitaux De L Enfant Sciencedirect



E Dermato Fr Sites Fr Edermato Elsevier Cc Files Main 762 Pdf




Fibrose Kystique Mucoviscidose




La Poussee Dentaire




Gonflement Grosseur Boule Dans Le Cou Quelles Causes Passionsante Be




Furoncle Chez L Enfant Et Le Bebe Que Faire Parents Fr




La Famille Finnimore Ronald Mcdonald House Charities




Mon Bebe Pissenlit Un Kyste Dermoide



Http Www Sfrnet Org Rc Org Sfrnet Htm Article 16 0939 596 Src Htm Fulltext Fr 2 fayard C Pdf



Mediane De Kyste Du Cou Et Sur Le Cote Le Traitement Le Kyste Est Dangereux




Hygroma Kystique Cervical Syndrome De Turner Cas Clinique Et Description De La Pathologie



Http Link Springer Com Content Pdf 10 1007 2fs 013 0265 X Pdf



Que Sont Les Perles D Epstein Du Nouveau Ne Bebes Et Mamans




Le Kyste Dermoide Chez Les Enfants Etre Parents



Http Www Sfrnet Org Rc Org Sfrnet Htm Article 16 0939 596 Src Htm Fulltext Fr 2 fayard C Pdf




Acne Du Nourrisson Symptomes Traitement Cocooncenter
0 件のコメント:
コメントを投稿